Dentistry
Did you know that over 80% of dogs and cats over 3 years old have some form of dental disease?
Why not go and have a look at your pet’s mouth now?
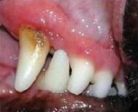
Teeth should be white with no calculus or plaque and the gums should be a nice pink colour.
Signs of disease include red or bleeding gums, especially around the margins of the teeth, yellow or brown discolouration, tartar or calculus and in severe cases you may see loose teeth.
Give your pet something to smile about!
Dental or periodontal disease is important for 2 main reasons:
- Your pet may be in discomfort and some will show obvious signs of pain. These can include difficulty eating, resentment when handled around the head and they may be irritable due to the pain.
- There is evidence that the bacteria associated with dental disease in the mouth travels via the blood stream to cause infections in other parts of the body, including the kidneys and heart.
It is important to remember your pet may have bad teeth and not show any signs. You should pull back their lips and check all of their teeth. especially the big molars at the back.
Compare them against the pictures to the right. If you are unsure please make an appointment and we can check their teeth for you.

The gold standard in home dental care is tooth brushing with a bristle brush daily
Only brushes with bristles can reach under the gum line and get in between the teeth. Cheap, soft bristle brushes should be used. Use a specific enzymatic toothpaste, although the mechanical method of brushing is the most important part. The toothpaste provides a lesser contribution to plaque removal but the flavour can make the experience more enjoyable for your pet.
You must brush daily. Brushing every second day is 60% less effective than if you do it every day. Any less than this and there really is no point in doing it at all!
Start by introducing toothpaste with your finger and rubbing around the gum line. Don’t rush this process or your pet will be less likely to accept it. Once your pet is happy having his/her mouth worked with you can introduce the brush. Move it back and forth and round in circles to get into all the nooks and crannies! Brushing the outside of the teeth is the most important, don’t worry if your pet will not allow you to brush the insides.
What else can I do?
Certain diets and chews can also help. However, these do not get under the gum line the same way tooth brushing does and therefore should be used in conjunction with brushing.
If you are unsure if your brushing is being effective you can bring your pet along to one of our nurse clinics and we can apply a disclosing solution to show you the areas where plaque is starting to form.
Please ring the surgery if you would like to make an appointment.
What if your pet has dental disease?
If your pet is suffering from dental disease they will benefit from a scale and polish and may even require some extractions.
Dentals are done under general anaesthetic.
Firstly, we chart the pets mouth, giving each individual tooth a score for tartar and gum disease. We make note of any missing or fractured teeth and decide on treatment.
We have a specialised dental x-ray machine which allows us to take detailed x-rays of your pets mouth. This gives us the information we need to make decisions as to whether to extract teeth or not. We use the same kind of dental machine as a human dentist.
The ultrasonic scaler removes the plaque and tartar. It has a high speed air-driven drill to aid in the removal of teeth. The polisher uses special paste to smooth the teeth after they have been scaled. It also has an air and water nozzle to flush away debris and bacteria and clean the mouth when we have finished.


